Botanical Information Curcuma longa L.
| Synonyms | Amomum curcuma Jacq. |
| Curcuma domestica Valeton | |
| Curcuma soloensis Valeton | |
| Curcuma brog Valeton | |
| Curcuma ochrorhiza Valeton | |
| Curcuma tinctoria Guibourt | |
| Stissera curcuma Giseke | |
| Common name (en) | Turmeric |
| Common name (af) | Borrie |
| Common name (de) | Kurkuma |
| Common name (fr) | Curcuma |
| Common name (hi) | हल्दी |
| Common name (id) | Kunyit |
| Common name (ja) | ウコン |
| Common name (ko) | 강황 |
| Common name (ms) | Kunyit |
| Common name (nl) | Kurkuma |
| Common name (pt) | Açafrão-da-terra |
| Common name (ru) | Куркума длинная |
| Common name (th) | ขมิ้น |
| Common name (vi) | Nghệ |
| Common name (zh) | 薑黃 |
Related herbal drug(s)
Curcuma amada Roxb.
Curcuma aromatica Salisb.
Curcuma zanthorrhiza Roxb.
Curcuma zedoaria Roscoe
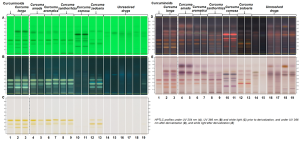
| Sample preparation | Mix 0.2 g of powdered sample with 3 mL of methanol, sonicate for 10 min, the centrifuge and use the supernatant as test solution |
| Mobile phase | Toluene, acetic acid 4:1 (v/v) |
| Derivatization | Derivatize with anisaldehyde reagent, and heat the plate at 100°C for 3 min |
| System Suitability Test (SST) | Under development |
| Specific marker(s) | Under UV 366 nm, after derivatization
|
| HPTLC Chromatograms |
|
| HPTLC Chromatograms |
|
| ATLAS documents |
Image comparison of Curcuma longa and related herbal drugs ATLAS Method document of Curcuma longa Image comparison of Curcuma longa Selection of the ATLAS method of Curcuma longa visionCATS data (CAMAG software) |
| Sample preparation | Weigh 0.1 g of the powdered sample and place it in a 50-mL conical flask, then add 10 mL of ethanol (70%). Sonicate (90 W) the mixture for 10 min. Filter the mixture |
| Mobile phase | Dichloromethane, ethanol, formic acid 15:0.4:0.3 (v/v/v) |
| Derivatization | No derivatization |
| Sample preparation | Weigh 10.0 g of the powdered sample and place it in a 100-mL conical flask, then add 50 mL of ethanol (95%). Sonicate (400 W) the mixture for 30 min. Filter and transfer the filtrate to a 150-mL round-bottomed flask. Evaporate the solvent to dryness at reduced pressure in a rotary evaporator. Dissolve the residue in 1 mL of ethanol (95%). Filter the solution |
| Mobile phase | Petroleum ether (60-80ºC), ethyl acetate 18:2 (v/v) |
| Derivatization | No derivatization |
| Sample preparation | To 0.5 g of the powdered herbal drug add 20 mL of methanol, shake for 15 min, filter, and use the filtrate |
| Mobile phase | Ethyl acetate, hexane, acetic acid 11:9:1 (v/v/v) |
| Derivatization | No derivatization |
| Sample preparation | Weigh 5 g of C. longa dried rhizome powder in a 250 mL round bottom flask and add 100 mL of ethanol (95%). Reflux the mixture for 1 hour, cool and filter. Transfer 20 mL of the filtrate in an evaporating dish and evaporate to dryness over a boiling water bath. Reconstitute the residue with 20 mL chloroform and filter. Use the filtrate as the test solution |
| Mobile phase | Dichloromethane, methanol 25:1 (v/v) |
| Derivatization | No derivatization |
| Sample preparation | Extract 1 g powdered drug with 100 mL of ethanol in a soxhlet apparatus consecutively three times. Filter and concentrate the combined extracts under vacuum and make up the volume to 10 mL with ethanol |
| Mobile phase | Toluene, ethyl acetate, formic acid 5:1.5:0.5 (v/v/v) |
| Derivatization | No derivatization |
| Sample preparation | Alcoholic extract |
| Mobile phase | Toluene, ethyl acetate 9:1 (v/v) |
| Derivatization | Derivatize with anisaldehyde sulfuric acid reagent, then heat the plate at 105°C for 5 min |