HPTLC ATLAS

 

Botanical Information Centella asiatica (L.) Urb

Synonyms Centella asiatica var. crista Makino
Centella boninensis Nakai ex Tuyama
Centella coriacea Nannf.
Centella glochidiata (Benth.) Drude
Centella hirtella Nannf.
Centella tussilaginifolia (Baker) Domin
Centella ulugurensis (Engl.) Domin
Centella uniflora (Colenso) Nannf.
Chondrocarpus asiaticus Nutt.
Chondrocarpus triflorus Nutt.
Glyceria asiatica Nutt.
Glyceria triflora Nutt.
Hydrocotyle abbreviata A.Rich.
Hydrocotyle abyssinica Gand.
Hydrocotyle artensis Montrouz.
Hydrocotyle asiatica L.
Hydrocotyle asiatica var. monantha F.Muell.
Hydrocotyle brasiliensis Scheidw.
Hydrocotyle brevipedata St.-Lag.
Hydrocotyle brevipes DC.
Hydrocotyle dentata A.Rich.
Hydrocotyle ficarifolia Stokes
Hydrocotyle ficarioides Lam.
Hydrocotyle glochidiata Benth.
Hydrocotyle hebecarpa DC.
Hydrocotyle inaequipes DC.
Hydrocotyle indivisa Banks & Sol. ex Hook.f.
Hydrocotyle lunata Lam.
Hydrocotyle lurida Hance
Hydrocotyle nummularioides A.Rich.
Hydrocotyle pallida DC.
Hydrocotyle reniformis Walter
Hydrocotyle sarmentosa Salisb.
Hydrocotyle sylvicola Cordem.
Hydrocotyle thunbergiana Spreng.
Hydrocotyle tussilaginifolia Baker
Hydrocotyle ulugurensis Engl.
Hydrocotyle uniflora Colenso
Hydrocotyle wightiana Wall.
Neosciadium glochidiatum (Benth.) Domin
Trisanthus cochinchinensis Lour.
Common name (en) Gotu kola
Common name (de) Indischer Wassernabel
Common name (hi) मण्डूकपर्णी
Common name (id) Pegagan
Common name (ja) ツボクサ
Common name (ko) 병풀
Common name (ru) Центелла азиатская
Common name (th) บัวบก
Common name (vi) Rau má
Common name (zh) 崩大碗

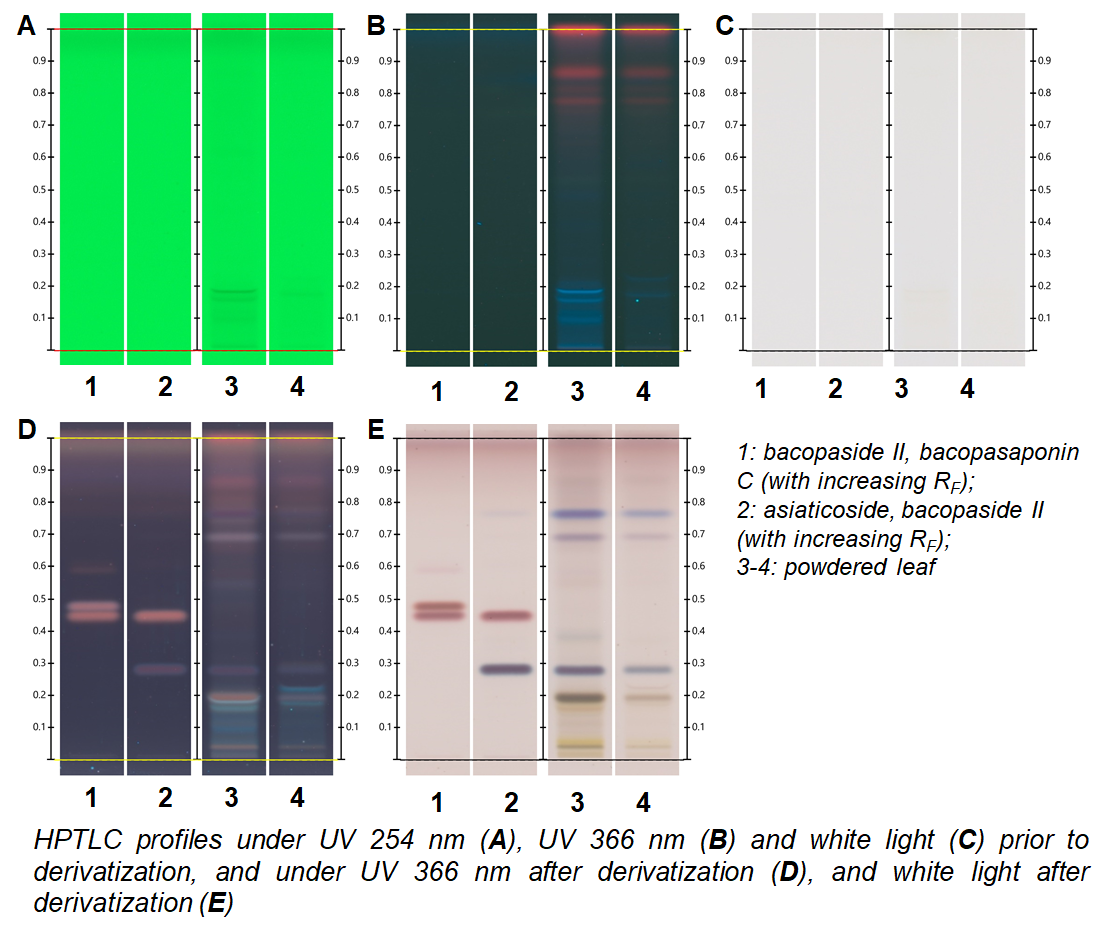
Sample preparation Mix 1.0 g of powdered sample with 10 mL of methanol and sonicate for 10 min, then centrifuge the solution and use the supernatants as test solutions
Mobile phase Dichloromethane, methanol, water 14:6:1 (v/v/v)
Derivatization Derivatize with anisaldehyde reagent, and heat the plate at 100°C for 3 min
System Suitability Test (SST) Under development
Specific marker(s) Under white light, after derivatization
  • madecassoside: a greenish zone at RF ~ 0.19
  • asiaticoside: a blue-violet zone at RF ~ 0.28
  • bacopaside I: a red-violet zone at RF ~ 0.31
  • bacopaside II: a red-violet zone at RF ~ 0.44
  • bacoside A3: a violet zone at RF ~ 0.44
  • bacopasaponin C: a purple-red zone at RF ~ 0.47
  • bacopaside X: a red-violet zone at RF ~ 0.48
  • madecassic acid: a blue zone at RF ~ 0.70
  • asiatic acid: a blue zone at RF ~ 0.77
  • bacosine: a pink zone at RF ~ 0.87
HPTLC Chromatograms (different origin(s))
HPTLC Chromatograms (related drug(s))

back