Botanical Information Alpinia japonica (thumb.) Miq.
| Synonyms | Alpinia agiokuensis Hayata |
| Alpinia kiushiana Kitam. | |
| Globba japonica Thunb. | |
| Languas oxyphylla (Miq.) Merr. | |
| Languas oxyphylla (Miq.) Merr. | |
| Common name (fr) | Gingembre à la menthe |
| Common name (ko) | 미사인 |
Related herbal drug(s)
Alpinia galanga (L.) Willd.
Alpinia hainanensis K. Schum.
Alpinia oxyphylla Miq.
Amomum aculeatum Roxb.
Amomum aromaticum Roxb.
Amomum compactum Sol. ex Maton
Amomum longiligulare T.L.Wu
Amomum tsao-ko Crevost & Lemarié
Amomum verum Blackw.
Amomum villosum Lour.
Amomum dealbatum Roxb. (procuring samples)
Amomum subulatum Roxb. (procuring samples)
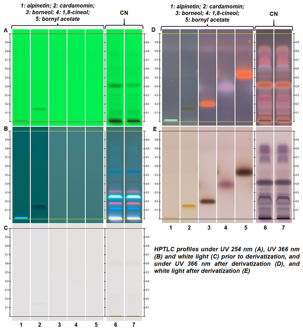
| Sample preparation | To 1 g of the powdered herbal drug add 5 mL of methylene chloride. Sonicate for 10 min. Centrifuge and use the supernatant |
| Mobile phase | Ethyl acetate, toluene 7:93 (v/v) |
| Derivatization | Spray with anisaldehyde solution and heat at 100°C for 3 min |
| System Suitability Test (SST) | Under development |
| Specific marker(s) | Under white light, after derivatization
|
| HPTLC Chromatograms |
|
| HPTLC Chromatograms |
|
| ATLAS documents |
ATLAS Method document of Alpinia japonica Image comparison of Alpinia japonica Image comparison of Alpinia japonica and related herbal drugs visionCATS data (CAMAG software) |